Book Now
Back To All Team
637726902_1567449938718036_743046976434264123_n

Dr Kevin Bruce

Lead Implant Clinician in Dental Bees Dumfries

4.9
51 Google reviews

Dr Kevin Bruce has been placing dental implants since 2002 and has treated thousands of cases, ranging from single tooth replacement to complex full-mouth rehabilitation. He has a particular focus on advanced full arch treatments, including All-on-4, All-on-6, and same-day teeth solutions, often treating patients who have previously been told they are not suitable for implants.

With over 20 years of surgical experience and a background in Oral and Maxillofacial Surgery, Dr Bruce brings a high level of expertise to implant dentistry. He graduated from the University of Glasgow in 1995 and was awarded the Fellowship in Dental Surgery from the Royal College of Surgeons of England in 1999.

He has undertaken extensive postgraduate training internationally in bone regeneration, aesthetic implant surgery, and full-arch rehabilitation, enabling him to manage complex cases such as severe bone loss and implant failures.

Working within the modern digital workflow at Dental Bees Dumfries, Dr Bruce utilises 3D planning, guided surgery, and CAD/CAM technologies to achieve precise and reliable results.

His approach combines surgical expertise with advanced technology and a strong focus on patient outcomes, providing high-quality implant solutions designed for long-term success.

International Training & Advanced Expertise

Dr Bruce has undertaken advanced training with leading clinicians and institutions worldwide, allowing him to apply the latest techniques in implant and regenerative dentistry.

His training includes:

He is also trained in advanced techniques such as Immediate Dentoalveolar Restoration (IDR) and the Socket Shield technique, supporting high-level aesthetic outcomes in complex implant cases.

Implant Work by Dr Kevin Bruce:

 

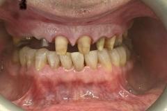
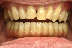
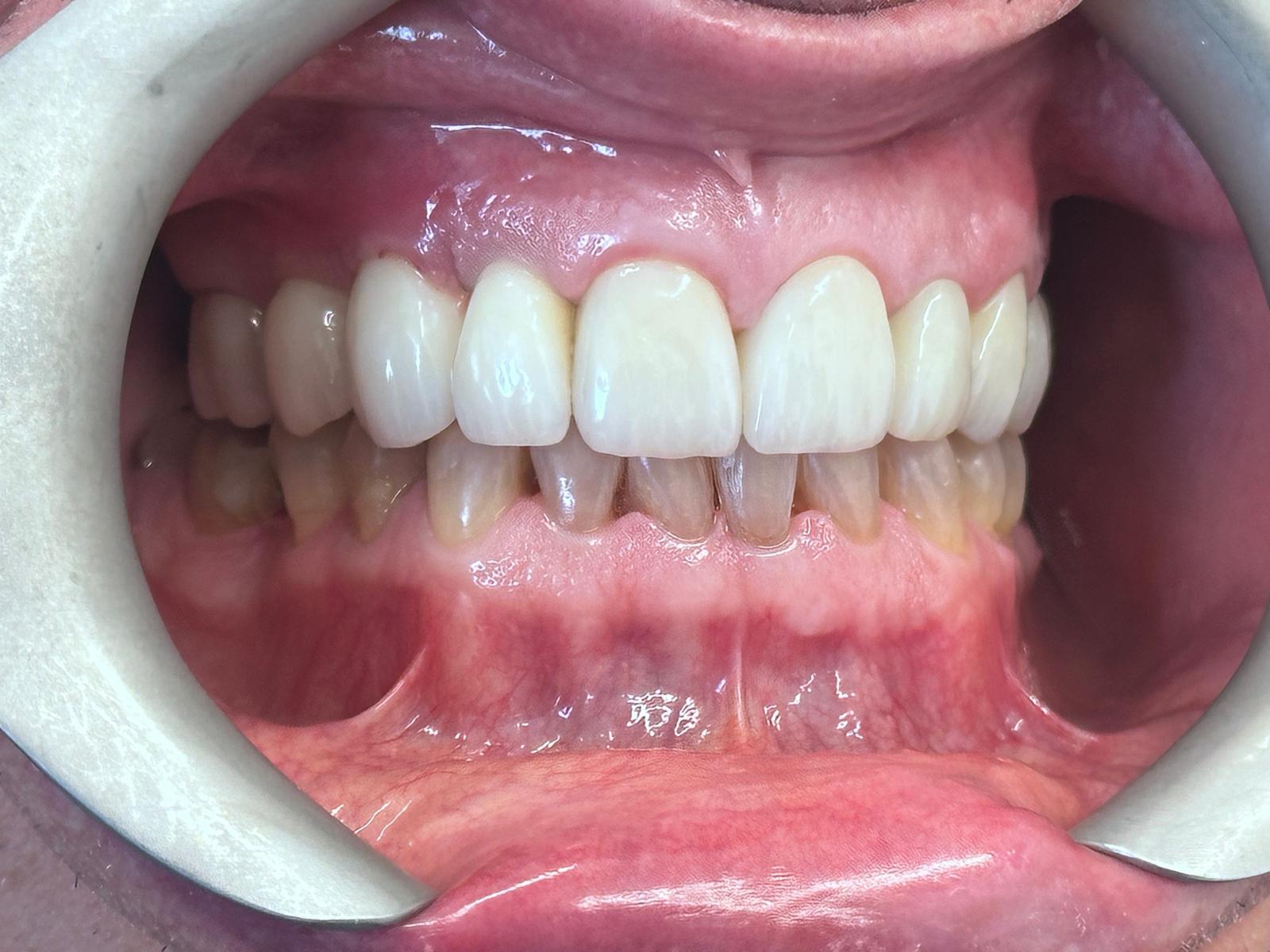
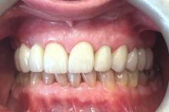
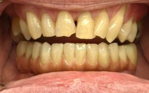
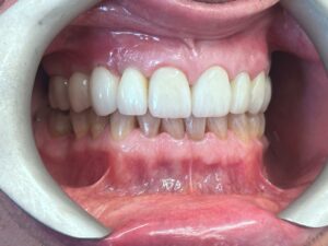
Full smile rehabilitation involving replacement of missing and failing teeth with implant-supported restorations, combined with aesthetic correction of existing dentition. The treatment was carefully planned to restore function, improve alignment, and achieve a balanced, natural-looking smile.

Implants were strategically placed to support long-term stability, with particular attention to soft tissue contours and emergence profiles to ensure seamless integration with the surrounding teeth. The final restoration was designed to enhance both aesthetics and bite function, delivering a confident and harmonious result.

This case demonstrates a comprehensive approach to implant and restorative dentistry, combining surgical precision with advanced prosthetic design to achieve predictable, long-term outcomes.

——

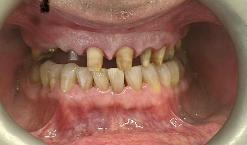
Implants placed using a digitally planned stackable surgical guide following alveolectomy, ensuring ideal positioning and a stable foundation for full-arch restoration.

—————

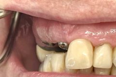
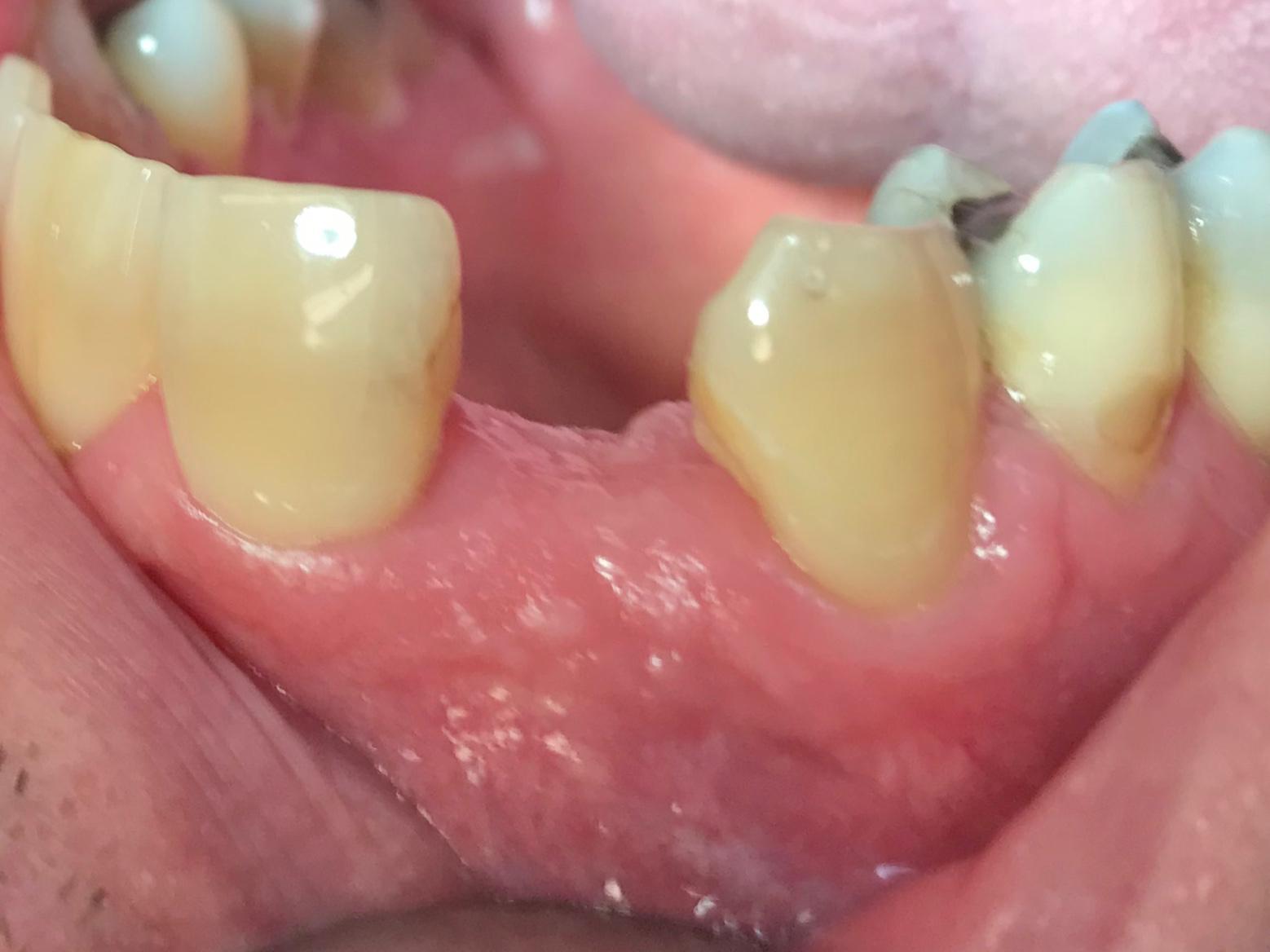
Immediate implant placement with simultaneous bone augmentation and connective tissue grafting. The case will be completed with crown lengthening, veneer replacement, and soft tissue optimisation to achieve ideal emergence profiles.

————–

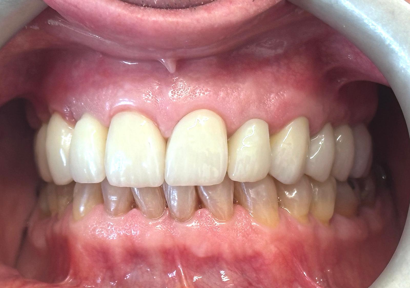
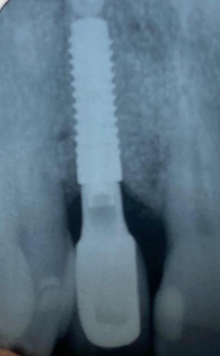
Single implant case in the anterior region, following digital planning to ensure precise positioning and optimal aesthetic outcome. Pre-operative CBCT analysis was used to assess bone volume and guide implant angulation, allowing for a prosthetically driven approach.

The implant was placed with careful attention to surrounding anatomical structures and soft tissue preservation. This allowed for stable integration and proper support of the final restoration. Healing was uneventful, with good tissue response and maintenance of gingival architecture.

The final crown was designed to match the adjacent teeth in shape, colour, and emergence profile, achieving a natural and harmonious result. Functional stability and aesthetic integration were both prioritised, delivering a predictable long-term outcome.

————

Immediate implant placement following extraction, combined with bone augmentation and connective tissue grafting to support optimal healing and soft tissue stability. This approach helps preserve natural contours and provides a strong foundation for a highly aesthetic final restoration.

———–

 

 

Transforming Smiles & Changing Lives

Why Our Patients Trust Dental Bees

icon gif

How Can We Help?

Whether you're curious about our upcoming treatments, special offers or want personalised dental care advice, we’ve got you covered!

Are you accepting new patients?

Yes, we are currently accepting new patients both on our dental memberships and privately. Additionally, we accept children under the age of 16 on the NHS, provided that the parents are already registered with the practice.

How quickly can you see me?

We strive to offer immediate appointments whenever possible and aim to see you within a week. Get in touch today to book your visit!

I’ve got a dental emergency, what should I do?

We prioritise emergency appointments and will see you as soon as possible. With the added benefit of membership, you can receive dental treatment anywhere in the world and claim back the costs.

Start Your Transformation Today

A member of our team will get back to you in 24 hours. If query is urgent, contact the clinic directly. Find your nearest clinic.






    Stay Connected